
Sometimes I get happy with the title more than the photo, I am pretty proud of the cheesy title. Works in so many ways, but if I have to explain it, I defeated the win, but come on the foot is literally facing right for one….
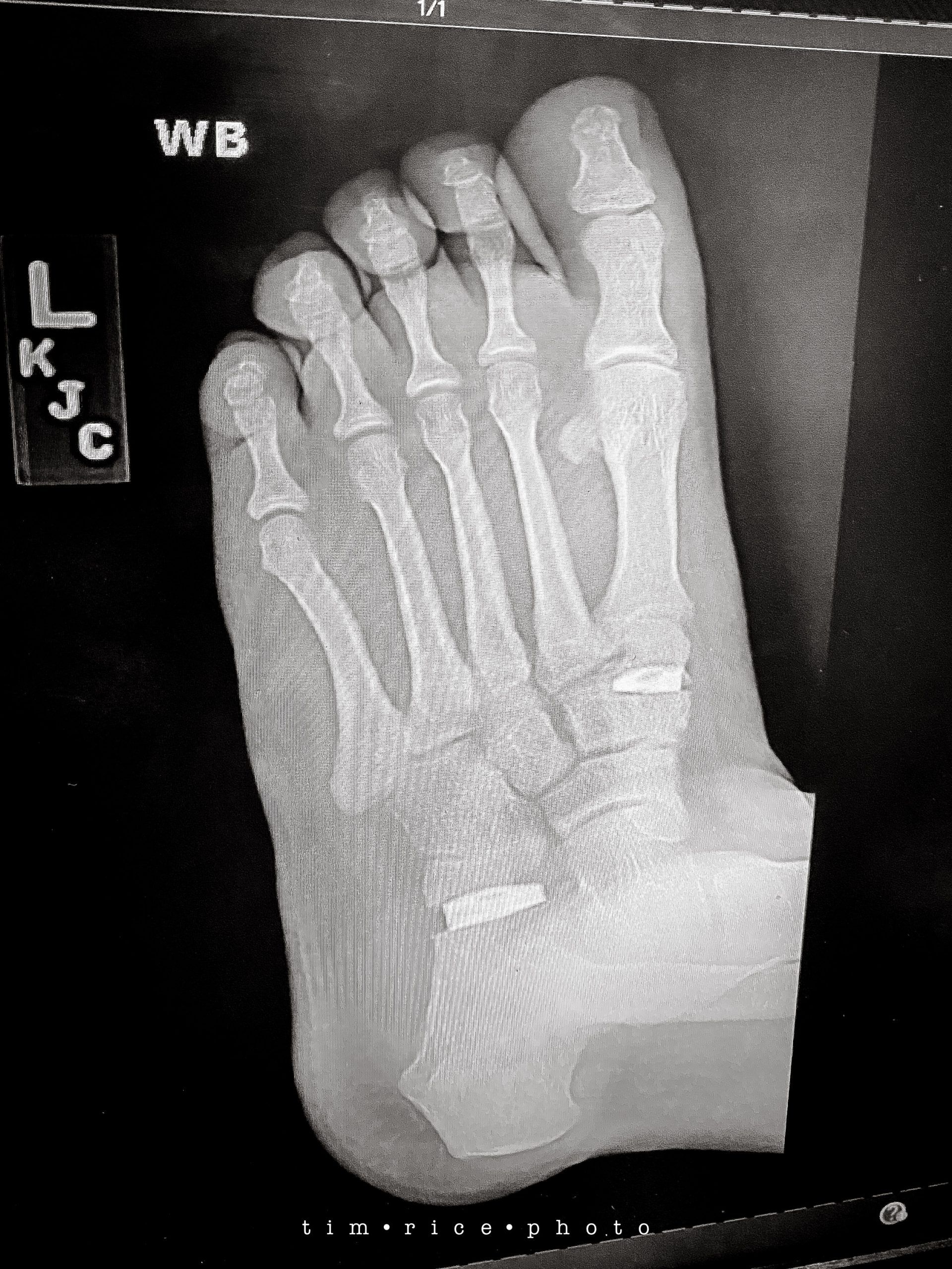
Anyway, I have been asked often for an update on Dan and his LEFT foot. It was four weeks ago today he had his surgery. There are two titanium wedges in between his bones, plus there was a procedure done on his tendon. He has been off his foot 100% since. He can walk with light use of his heel, walking boot, and a crutch as of today. This is huge because he has relied on one of those “kneel-on” leg carts, and that was if he was moving at all. We have not seen him outside of his room too much. All is healing well and slightly ahead of schedule. The before is below, and you can actually see an arch in his foot now. He has never had an arch, hence the years of pain, misery, canes, and ultimately this surgery. This will be life-changing for him, and he has handled it so much better than I would have. Happy to see this all going in the RIGHT direction.
tr/trp

